آیا در لمینت دندان تراش میخورد و میزان تراش آن چقدر است؟

آنچه در این مقاله میخوانید
علت انجام تراش دندان

افزایش چسبندگی و استحکام: تراش مینای دندان باعث میشود که چسبهای مخصوص بهتر روی سطح دندان قرار بگیرند و دوام بیشتری داشته باشد.
اصلاح ناهنجاریهای جزئی: در مواردی که دندانها کمی نامرتب هستند، ممکن است با مقدار کمی تراش، هماهنگی بهتری در طرح لبخند ایجاد شود.
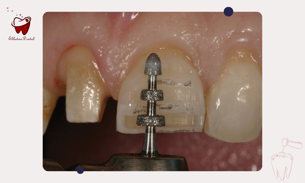
میزان دقیق تراش در انواع لمینتها

میزان دقیق تراش در انواع لمینتها
در این روش بین ۰.۳ تا ۰.۷ میلیمتر از مینای دندان تراشیده میشود.این مقدار فقط شامل لایه بیرونی مینای دندان است و به عاج یا ساختار داخلی دندان آسیبی وارد نمیکند.تراش در حدی است که باعث قرارگیری روکش دندان به شکلی طبیعی روی دندان شود.این روش برای دندانهایی که دارای تغییر رنگ، لبپریدگی یا فرم نامناسب هستند، مناسبتر است.بدون تراش (لومینیرز و انواع فوق نازک)
در برخی موارد، روکش های جدید و بسیار نازک مانند لومینیرز (Lumineers) یا E-max نیاز به تراش ندارند یا مقدار تراش آنها کمتر از ۰.۲ میلیمتر است.این روش برای افرادی مناسب است که دندانهای سالم و بدون ناهنجاری خاص دارند.مزیت اصلی این روش، حفظ کامل مینای دندان و امکان برگشت به حالت اولیه در صورت نیاز است.مزایا و معایب

افزایش دوام و چسبندگی به دندان
جلوگیری از ضخیم شدن بیش از حد دندانها
ایجاد ظاهری طبیعیتر پس از نصب
معایب
در صورت نیاز به برداشتن ، دندانها ممکن است ظاهر نامناسبی داشته باشند
افزایش حساسیت دندانها نسبت به سرما و گرما
کاهش استحکام مینای دندان در برابر پوسیدگی
عدم امکان بازگرداندن دندان به حالت اولیه
راههای کاهش آسیب احتمالی
مراجعه به دندانپزشک متخصص: یک دندانپزشک باتجربه میتواند میزان تراش را به حداقل برساند و از روشهای دقیق برای حفظ سلامت دندان استفاده کند.
مراقبتهای بعد از روکش دندان: رعایت بهداشت دهان و دندان و پرهیز از مواد غذایی سخت میتواند از آسیب به دندانها جلوگیری کند.
مقایسه میزان تراش دندان در روشهای مختلف زیبایی دندان

آیا تراش دندان درد دارد؟
نتیجهگیری
منابع
smilesdental.com
dentalsland.com
در بیشتر موارد برای چسباندن لمینت دندان باید لایهای نازک از سطح دندان تراشیده شود تا لمینت به خوبی روی دندان قرار گیرد.
اگر این کار توسط دندانپزشک متخصص و با استفاده از تجهیزات مناسب انجام شود، خطرات آن به حداقل میرسد و آسیب چندانی به دندان وارد نمیشود.
در برخی موارد، پس از انجام لمینت دندان، ممکن است فرد کمی حساسیت به سرما و گرما تجربه کند، اما این حساسیت معمولاً موقت است.
مانند دندانهای طبیعی، مراقبتهای مناسب از جمله مسواک زدن منظم، استفاده از نخ دندان و اجتناب از مصرف غذاهای سخت توصیه میشود.
لیست نظرات
قدار تراش خیلی کم بود و اصلاً آسیبی به دندانهایم وارد نکرد. بعد از انجام لمینت، دندانهایم فوقالعاده به نظر میرسند و خیلی راضی هستم.
واقعا نگران بودم که تراش زیاد بخوره، اما اصلاً اینطور نبود! دندانها سالم و زیبا شدند
نتیجهای که گرفتم فوقالعاده بود




